CONTENIDO

Caries Dental


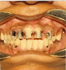
La caries es una enfermedad infectocontagiosa multifactorial que se caracteriza por la destrucción de los tejidos duros del diente como consecuencia de la desmineralización provocada por los ácidos que genera la placa bacteriana a partir de los restos de alimentos, que se exponen a las bacterias que fabrican ese ácido, de la dieta, la destrucción química dental se asocia a la ingesta de azúcares y ácidos contenidos en bebidas y alimentos, la caries dental se asocia también a errores en las técnicas de higiene así como pastas dentales inadecuadas, falta de cepillado dental, ausencia de hilo dental, así como también con una etiología genética, se estudia aún la influencia del pH de la saliva en relación a la caries. Tras la destrucción del esmalte ataca a ladentina y alcanza la pulpa dentaria produciendo su inflamación, pulpitis, y posterior necrosis (muerte pulpar). Si el diente no es tratado puede llevar posteriormente a la inflamación del área que rodea el ápice (extremo de la raíz) produciéndose una periodontitis apical, y pudiendo llegar a ocasionar un absceso, una celulitis o incluso unflemón.